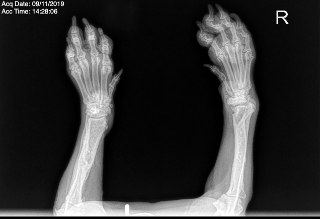
Angular Limb Deformities (ALD)

 

Angular limb deformities (ALD) are developmental conditions where a puppy’s leg grows at an abnormal angle rather than straight. They most commonly affect the front limbs and develop while the puppy is still growing.

In large, fast-growing guardian breeds such as the Cane Corso, the combination of rapid growth, heavy bone, and increasing bodyweight places significant demands on developing joints and growth plates. Even minor disruptions during growth can result in visible limb deviation and long-term soundness issues if not managed correctly.

 

  • Symptoms

    • Bowed or crooked appearance of the front legs

    • Feet turning inward or outward

    • Uneven limb length or visible rotation

    • Abnormal gait or altered movement

    • Stiffness or lameness as weight increases

    • Reduced comfort during exercise as the dog matures

    Severity can range from mild cosmetic deviation to structural deformities that impact mobility and joint health.

  • Treatment depends on the dog’s age, severity of the deformity, and remaining growth potential.

    • Veterinary assessment and imaging to evaluate growth plates

    • Careful weight and growth management in mild cases

    • Controlled exercise to reduce strain on developing joints

    • Nutritional correction where excess calories or imbalance are contributing factors

    • Surgical intervention in more severe cases to correct or guide bone growth

    Early diagnosis greatly improves available treatment options and long-term outcomes.

  • Not all angular limb deformities can be prevented, but risk can be significantly reduced through responsible management:

    • Controlled, steady growth rather than rapid weight gain

    • Feeding a balanced, appropriate diet for large-breed puppies

    • Avoiding excessive exercise, jumping, or hard surfaces during growth

    • Preventing trauma or injury to developing limbs

    • Breeding decisions that prioritise sound structure and correct limb alignment

    For Cane Corsos, correct early management is essential to support long-term mobility, working ability, and overall welfare.