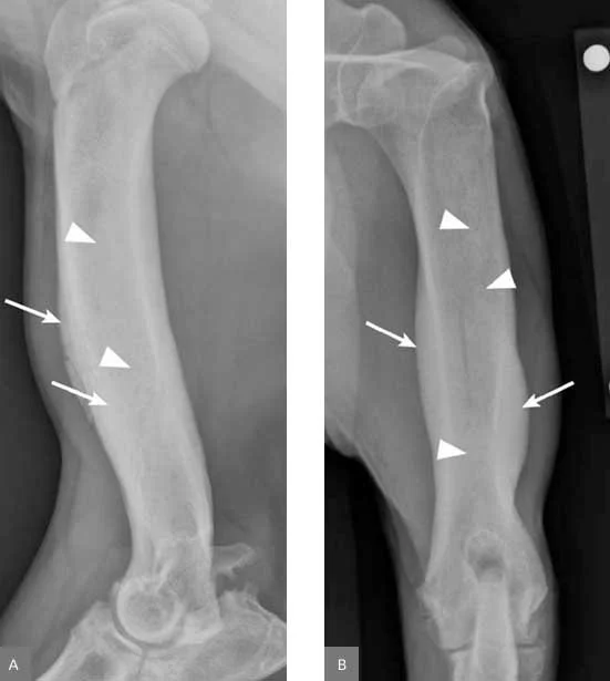
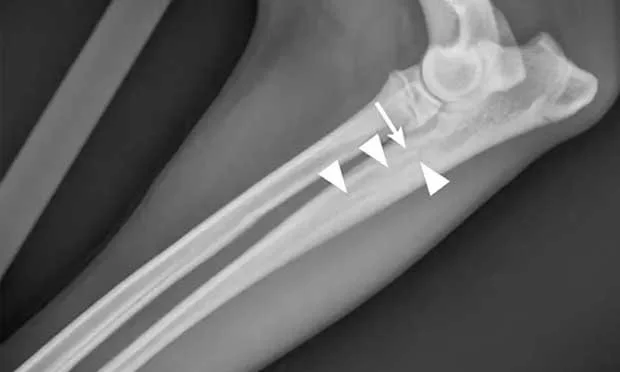
Panosteitis

 

Panosteitis is a self-limiting inflammatory condition affecting the long bones of young, growing dogs. It is most commonly seen in large and giant breeds and typically occurs during periods of rapid growth. While painful, panosteitis does not cause permanent joint damage and usually resolves as the dog matures.

 

      • Sudden or shifting lameness, often moving from one leg to another

      • Pain on palpation of the long bones

      • Stiffness, particularly after rest

      • Reluctance to exercise or play

      • Lethargy or reduced activity levels

      • Occasional fever or reduced appetite

      Symptoms may come and go over weeks or months and can vary in severity.

  • There is no specific cure for panosteitis, as the condition resolves naturally with time. Treatment focuses on comfort and support during flare-ups.

    • Pain management

      • Anti-inflammatory or pain-relief medication as prescribed by a veterinarian

    • Activity modification

      • Reduced exercise during painful periods

      • Gentle, controlled movement to maintain mobility

    • Monitoring

      • Regular veterinary review to rule out other causes of lameness

      • Observation for recurring episodes during growth

    Most dogs recover fully with no lasting effects once growth stabilises.

  • Panosteitis cannot be fully prevented, but the risk and severity may be influenced by growth management.

    • Controlled growth

      • Feed an appropriate diet formulated for large, slow-maturing breeds

      • Avoid excessive calorie intake and over-supplementation

    • Weight management

      • Maintain a lean body condition to reduce stress on developing bones

    • Appropriate exercise

      • Avoid excessive or high-impact exercise during rapid growth phases

    • Breeding considerations

      • Consider family history, as some genetic influence may exist

Panosteitis can be distressing for owners, but it is important to recognise that it is temporary and manageable. Supportive care and patience are usually all that is required while the dog matures.