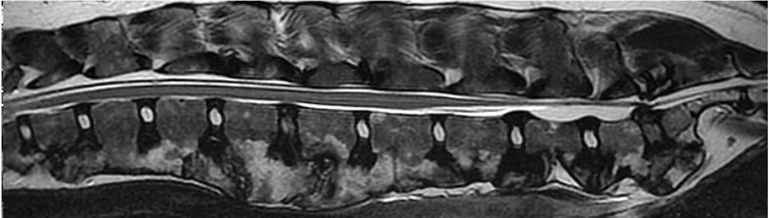
Spinal Issues

 

Spinal issues cover a range of conditions affecting the bones, discs, and nerves of the spine. In large, powerful breeds like the Cane Corso, the spine carries significant weight and force, making correct structure, growth, and conditioning especially important.

Some spinal conditions are developmental, others are degenerative or injury-related, and many are influenced by growth rate, body condition, and overall management during puppyhood and adulthood.

Lumbosacral Disease (Degenerative Lumbosacral Stenosis)

A condition where the lower spine narrows and compresses nerves.

  • Common in large, powerful breeds

  • Can cause hind limb weakness, pain, and reluctance to jump

  • Often develops gradually with age or heavy work

  • Weight and conditioning play a significant role

 

Lumbosacral Disease (Degenerative Lumbosacral Stenosis)

      • Stiffness or pain in the lower back or hips

      • Reluctance to jump, climb stairs, or get into vehicles

      • Hind limb weakness or reduced drive from the rear

      • Changes in gait, including a shortened stride

      • Sensitivity when the lower back is touched

      • Reduced stamina or reluctance to exercise

      • In more advanced cases, neurological signs affecting the hind limbs

      Symptoms often develop gradually and may worsen with age, workload, or increased body weight.

  • Treatment is based on severity and progression of the condition:

    • Veterinary assessment and diagnostic imaging where required

    • Pain relief and anti-inflammatory medication

    • Controlled exercise to maintain mobility without overloading the spine

    • Physiotherapy and targeted strengthening of core and hindquarter muscles

    • Weight management to reduce pressure on the lumbosacral joint

    • Surgical intervention in severe cases where nerve compression significantly affects function

    Early intervention can slow progression and improve comfort.

  • There is no absolute cure for degenerative lumbosacral disease. However, many Cane Corsos live comfortable, active lives with appropriate management.

    • Long-term condition management rather than one-off treatment

    • Ongoing weight control and conditioning

    • Adjusted exercise routines to avoid excessive strain

    • Regular veterinary monitoring to manage pain and mobility

    With correct care, progression can often be slowed and quality of life maintained.

Spondylosis Deformans

Spondylosis deformans is a degenerative condition of the spine where bony spurs form along the edges of the vertebrae. It is commonly associated with ageing and wear on the spinal joints and is frequently seen in large, heavy-boned breeds such as the Cane Corso.

In many cases, spondylosis is an incidental finding and does not cause clinical symptoms. However, in more advanced cases, it can contribute to stiffness, discomfort, or reduced flexibility.

    • Mild to moderate stiffness, particularly after rest

    • Reduced flexibility through the back

    • Reluctance to stretch, jump, or engage in vigorous activity

    • Subtle changes in movement or posture

    • Discomfort when the spine is manipulated

    • In many dogs, no visible symptoms at all

    Symptoms, when present, usually progress slowly.

  • Treatment focuses on maintaining comfort and mobility:

    • Veterinary assessment to confirm diagnosis

    • Pain relief or anti-inflammatory medication if discomfort is present

    • Physiotherapy to support flexibility and muscle strength

    • Controlled, low-impact exercise to maintain mobility

    • Weight management to reduce spinal load

    Surgical intervention is rarely required for spondylosis alone.

  • Spondylosis is largely age-related and cannot always be prevented, but good management can reduce its impact:

    • Maintaining a healthy body weight throughout life

    • Regular, appropriate exercise to support spinal flexibility

    • Avoiding repetitive high-impact activity

    • Supporting joint health through responsible conditioning

    • Breeding decisions that prioritise overall structure and longevity

    For Cane Corsos, steady conditioning and weight control are key to minimising age-related spinal changes.

Spinal Injury

Spinal injury refers to damage to the bones, discs, or nerves of the spine caused by trauma or excessive force. In large, powerful breeds such as the Cane Corso, spinal injuries most commonly occur due to falls, uncontrolled jumping, collisions, or high-impact activity.

Injuries can range from mild soft tissue damage to more serious trauma affecting spinal stability or nerve function.

  • Symptoms

    • Sudden onset of back or neck pain

    • Stiffness or reluctance to move

    • Crying out or signs of discomfort when handled

    • Weakness in one or more limbs

    • Altered gait or loss of coordination

    • Difficulty standing, walking, or rising

    • In severe cases, neurological signs such as dragging limbs or loss of balance

    Spinal injuries can present immediately or worsen over hours following trauma.

  • Treatment

    Treatment depends on the severity and location of the injury:

    • Immediate veterinary assessment following trauma

    • Restricted movement and rest to prevent further injury

    • Pain relief and anti-inflammatory medication

    • Imaging such as X-rays, CT, or MRI where indicated

    • Physiotherapy and controlled rehabilitation once stable

    • Surgical intervention in cases involving spinal instability or nerve compression

    Prompt treatment is critical to protect neurological function.

  • Prevention

    While accidents cannot always be avoided, risk can be reduced through sensible management:

    • Avoiding excessive jumping, especially during growth

    • Managing environments to reduce slips and falls

    • Controlled exercise suited to the dog’s age and conditioning

    • Preventing uncontrolled high-impact activity

    • Maintaining good muscle strength to support the spine

    For Cane Corsos, power must be managed carefully. Strength without control increases injury risk.